Гам дэглэм
1. Амралт ба биеийн ачаалал
Мэс заслын дараах эхний 7–10 хоногт гэрийн дэглэм барьж, биеийн ачаалал, спортоос зайлсхийх
Сургуулийн насны хүүхэд: 7–10 хоног, насанд хүрэгчид: 10–14 хоног амрах
Хүнд юм өргөх, гүйх, бие хөлөргөх хөдөлгөөн цус алдах эрсдэлийг нэмэгдүүлдэг
???? Шинжлэх ухааны үндэслэл
Tonsillectomy‑ийн дараах secondary hemorrhage (5–10 дахь хоногт) нь биеийн ачаалалтай шууд хамааралтай гэж үздэг
2. Хоол, шингэний дэглэм
Маш хүйтэн эсвэл бүлээн, зөөлөн, залгихад амар хоол ундаа болох тараг, зайрмаг, нухаш, шөл, банана зэргийг хэрэглэнэ. Усыг бага хэмжээгээр ойр ойрхон ууна.
???? Дараах хоол хүнсийг хэрэглэхгүй.
- Халуун, хурц, шарсан, хатуу хоол
- Хүчиллэг ундаа (жүүс, кола)
- Жижиг ирмэгтэй хоол (чипс, самар)
3. Өвдөлт намдаах эмийн хэрэглээ
Парацетамол (Acetaminophen) – эхний сонголт болгон хэрэглэнэ. Тогтмол, эмчийн зөвлөсөн тунгаар уух нь өвдөлт, үрэвслийг дарахад чухал нөлөөтэй.
4. Амны хөндий, хоолойн арчилгаа
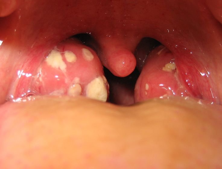
Гүйлсэн булчирхайг авахуулснаас хойш мэс заслын шархны хэсэгт цагаан/шаргал бүрхүүл (7–10 хоногт үүсдэг. Энэ нь идээ биш, эдгэрэлтийн үе шат явагдаж байгаа үйл явц учир айх сандрах шаардлагагүй. Бүрхүүлийг маажих, ханиалгах, хоолойгоо хүчтэй зайлж угааж болохгүй.
5. ???? ДАРУЙ ЭМЧИД ХАНДАХ шинжүүд
- Амнаас шинэхэн улаан цус их хэмжээгээр гарах
- Өвдөлт гэнэт нэмэгдэх
- 38.5°C‑аас дээш халуурах
- Шингэн ууж чадахгүй болох
6. ⏱️ Бүрэн эдгэрэх хугацаа
Хүүхэд: 7–10 хоног
Насанд хүрэгчид: 10–14 хоног
Дуу хоолой, залгих үйл ажиллагаа аажмаар хэвийн болно
Хоолой мах авахуулсны дараах 1-3 жил аль болох ханиад томуу хүрэхгүй байх, амны хөндийг тогтмол зайлж сурах, хоолойн 100% ургамлын найрлагатай КОФЛЕТ хүлхмэлийг тогтмол хэрэглэж, ханиаднаас сэргийлэх ГАВАР өдөр бүр тогтмол хэрэглэж байгаарай. Ялангуяа ханиад ихээр дэлгэрдэг өвлийн 11,12,1 саруудад маш сайн маск зүүж, дээрх арга хэмжээнүүдийг тогтмол авч байгаарай.

Ашигласан эх сурвалж:
American Academy of Otolaryngology – Head and Neck Surgery (AAO‑HNS)
ACOG / AAFP clinical guidelines
University‑affiliated hospital patient education materials
Peer‑reviewed studies (JAMA, BMJ, systematic reviews)

